CASE PORTFOLIO
Cosmetic orthodontics


Short term orthodontics using SmileTRU clear aligners on both arches.


Short term orthodontics using comprehensive clear fixed braces.


Short term orthodontics using clear fixed braces on the upper teeth and composite build ups on the upper incisors.


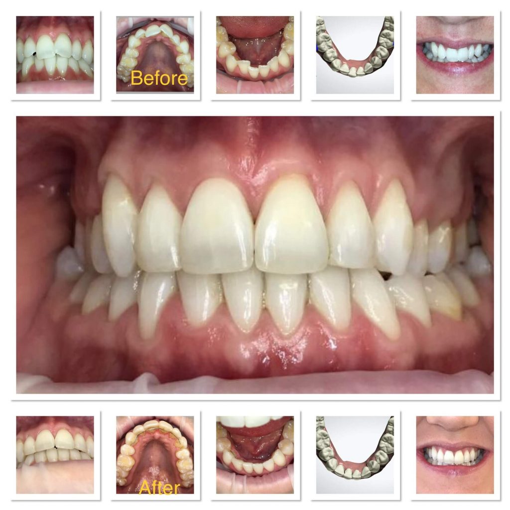
Short term orthodontics using clear fixed braces on both arches.


Short term orthodontics using SmileTRU clear aligners and post-op whitening.


Short term orthodontics using comprehensive clear fixed braces in both arches.


A full mouth rehabilitation including cometic short term orthodontics using clear braces, a dental implant, crowns and a single veneer.


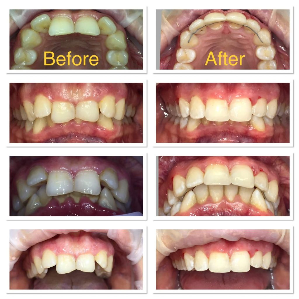
Short term orthodontics using clear fixed braces on the upper teeth.
SINGLE IMPLANTS


Upper left central incisor replacement with a single Biohorizons implant and a crown replacement on the left lateral incisor.


Single tooth replacement on the lower left first molar using a Biohorizons implant.
Implant Bridge


A full mouth rehabilitation including the replacement of failing teeth at the lower left side and lower front segment of the mouth using Biohorizons implants.


The replacement of 2 failing teeth using 2 implants and a 3-unit screw-retained bridge.


A radiograph (X-ray) showing the lower right failing teeth replaced with 2 dental implants.
FULL ARCH FIXED


A full mouth rehabilitation including the replacement of failing upper & lower teeth using multiple Biohorizons implants and fixed screw-retained bridges.


A full upper arch missing teeth replacement using 6 implants and a screw-retained bridge.
LOCATOR OVER DENTURE




BAR-RETAINED OVER DENTURE




FULL MOUTH SMILE MAKEOVER


A full mouth rehabilitation including cosmetic orthodontics, dental veneers and the replacement a missing tooth with a dental implant in the upper left lateral incisor position.


A full mouth rehabilitation including dental veneers, implants, root canal treatments and crowns.


A full mouth rehabilitation including the replacement of failing teeth with dental veneers, teeth whitening and crowns.


A full mouth comprehensive rehabilitation using dental implants, crowns, veneers and white fillings.
95 Alton Road, Bournemouth, BH10 4AD
01202 517474
wallisdowndp@hotmail.co.uk











