DENTAL IMPLANTS

Dental implants are a modern, safe and reliable method to restore a missing tooth or missing teeth in the mouth.
At Wallisdown dental practice, we offer a state of the art dental implant therapy.
Anyone missing one or more teeth understands how tooth loss can make you feel uncomfortable about smiling or eating in public. You may avoid social situations and as a result begin to feel isolated. This could impact your daily life and your self-confidence.
Current dental implant treatments can change your life. From a single missing tooth to an entire set of teeth, dental implants restore your appearance, speech, nutrition, oral health, comfort, and self-esteem. So smile big, eat what you want, and be a confident you!
Why replace missing teeth?
Losing one or more of your teeth creates a gap in your smile, affects your ability to chew properly, and can alter your diet and nutrition. In addition to these serious issues, tooth loss also causes bone loss.
Tooth loss causes bone loss. When a tooth is lost, the jawbone beneath it shrinks from lack of stimulation. Not only does losing teeth affect your smile, it also changes the shape of your face causing you to look prematurely aged.

Dr Ori Michaeli, a qualified Master in Implant Dentistry (MSc Implant Dentistry-Warwick university) is highly experienced in treatment planning and provision of simple and complex implant treatments, alike.
We offer our patients some of the most reputable implant systems which hold a huge base of clinical evidence, supporting their implant products. Several systems that we regularly use at the practice are the Biohorizon, Ankylos, Sweeden & Martina & Nobel Biocare implants, all are excellent systems, widely used and supported in the UK.
So how do we start?
First, it is important to diagnose the clinical state of your mouth. This will be performed during a specific ‘Implant treatment consultation’ which will include an assessment of your oral tissues (soft and hard tissues), specific periodontal assessment and a radiographic (X-rays) examination of the treated area. During the consultation , you will be shown a sample of an implant, sample of bone graft materials and several videos related to your surgery, for best understanding of the procedure. You will be also discussed any available treatment alternative to resolve your dental challenge.
Following your consultation, you may require further assessment and discussion, depending on the state and complexity of your treatment.

At certain cases, we would offer you a CBCT 3D Xray scan, which can be performed at the practice. This scan will help in identifying important anatomical structures like nerves and maxillary sinus and would enable to perform a virtual treatment planning with the identical implant system which is going to be used in your case.
Following the consultation and depending on your decision, a written consent letter will be provided to you, to acknowledge you of the planned treatment, the cost of the implant therapy and to gain your consent.
Can anyone have dental implants?
Maintaining healthy gums and bone is crucial for the proper support of dental implants. Similar to natural teeth, implants require regular maintenance. Patients considering implant procedures are advised to adhere to a dedicated oral hygiene routine, encompassing practices such as flossing, brushing, and routine visits to dental hygienists, to help protect the supporting tissues.
Given that dental implant placement is a surgical process, it is preferable for patients to be in good overall health. Generally, younger individuals with still-developing jaws are not recommended for implants. Additionally, minimising or quitting smoking is beneficial, as smoking can slow the healing process. Your overall suitability for implant treatment will be thoroughly discussed during your initial consultation, and it is likely that you will be deemed suitable for the procedure.
Even patients who have lost significant bone volume can have dental implants, by using bone grafting or ‘All On Four’ techniques.
Is dental implant treatment painful?
For individuals contemplating dental implants, concerns often revolve around the procedure itself. When performed by a skilled clinician, the placement of most dental implants is a relatively straightforward process, typically taking only 10-15 minutes to complete the surgical aspect of the treatment (though more intricate cases may require additional time).
During dental implant surgery, local anaesthetic is administered to ensure your comfort throughout the procedure, meaning you will be incapable of feeling any pain or discomfort.! We can also offer sedation which makes patients feel very comfortable, relaxed and you rarely remember much about the procedure afterwards.
Post-treatment, it’s normal to experience some discomfort, which can be effectively managed with pain relief recommended by your dentist. Remarkably, implant treatment is often less painful than undergoing a tooth extraction, with most patients able to resume their regular routines the following day.
How long does the dental implant treatment process take?
The whole process, from missing teeth to secure fixed replacements, can take several months. Although the implant surgery itself is a relatively swift procedure, the implant needs approximately 3-6 months to heal and fuse with the surrounding tissue before permanent teeth can be securely fixed into place. If additional procedures such as a bone graft are needed before the implant, the overall treatment duration may be extended. However, we assure you that the wait for your new smile will be well worth it!
How long do dental implants last?
When given proper care, dental implants boast the potential to last a lifetime. This involves upholding a diligent routine of brushing and flossing, prioritising your overall health, and attending regular dental and hygienist appointments.
It’s crucial to recognise that although the dental implant is designed for long-term durability, the crown or bridge it supports may undergo natural wear and tear, necessitating replacement over time. To monitor the health of the implants and surrounding bone levels, we advise annual reviews with X-rays. But by maintaining best care practices and staying proactive with your dental check-ups, you enhance the likelihood of enjoying your teeth for as long as possible.
Will other people be able to tell I have dental implants?
Absolutely not, dental implants are meticulously designed to replicate the look and feel of natural teeth. When crafting your final fixed crown or bridge, we pay careful attention to matching the shape and colour of your existing teeth. This ensures a seamless integration into your new smile, creating a harmonious and natural appearance.
In many situations, while a tooth or teeth have been lost from the mouth, the supporting structure (bone) will be compromised. This will indicate the use of an alternative bone grafting material to help in stabilising the implant and enhance the correct long term bone support to the implant.
In this process, the dentist will use a bone grafting material to build up a thin or shrunken jawbone. If you are considering an implant but dental x-rays show that you have a thin jawbone as a result of bone loss than a graft will be necessary.
Your jawbone may show bone loss as a result of the ageing process, prolonged denture wear, missing teeth, periodontal gum disease or as a result of an accident.

A sinus lift surgery is a very similar procedure to bone grafting in that donor bone is used to build up an area of the jawbone which is considered to thin for implants. In this case, the upper jawbone is being treated.
Just above your upper teeth are your ‘maxillary sinuses’ which are basically ‘air spaces’ in your jaw. And, very often there is only a thin wall of bone separating the sinuses from your teeth.
At times that the maxillary sinuses are very thin and not enough bone present to place your implants, the area will be built up via a bone graft in order to retain an implant.
This will increase the depth and width of the sinus wall in preparation for the implants. The sinus wall will be given time to heal (osseointegration) before a second procedure – insertion of the implants.
IMPLANTS RETAINED FIXED BRIDGE

Where the bone ridge is strong enough and the bone density is sufficient, a number of implants (4-6) will be placed within the bone, to be restored either immediately (Teeth Express) or in a delayed stage (usually within 3/6 months), with a fixed implants-retained bridge.
This will restore all the missing teeth on your jawbone..
BAR-RETAINED FULL ARCH REMOVABLE OVE-DENTURE

When the amount bone is heavily compromised or the treatment budget is limited, a second treatment option would be to place a fewer implants and connect them with a milled bar to support a removable over-denture.
This denture is fully removable, while the bar itself is firmly fixed to the implants.
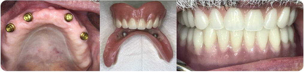
LOCATORS RETAINED FULL ARCH OVER-DENTURE

A third option to restore an entire arch would be to placed fewer implants (2-4) and connect a ‘Locator’ type abutments on them to mechanically support the fully removable over-denture.
To contact us
please use the form below
<Call: 01202517474
Email: wallisdowndp@hotmail.co.uk
Please only contact us if you are a new or existing patient.
CONTACT US
Call: 01202 517474
Email: wallisdowndp@hotmail.co.uk
Please only contact us if you a new or existing patient
95 Alton Road, Bournemouth, BH10 4AD
01202 517474
wallisdowndp@hotmail.co.uk