Laser Dentistry
Laser dentistry became an easily accessible option and an excellent choice when manipulating soft tissues at the dental surgery.
The results with dental lasers are immediate and involve very little discomfort if any.
Please find below a few examples of where the laser can be applied.

Here is an example of how we use the laser diode in every day dental treatments:

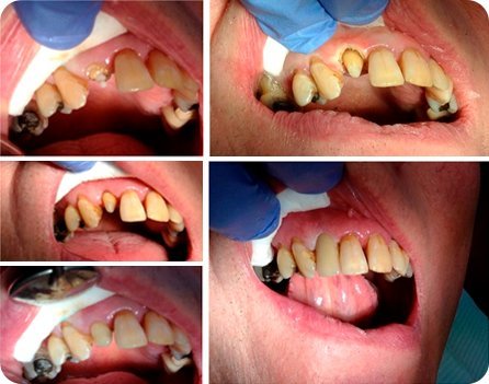
This patient has lost a crown, leaving him with a retained root, which is not suitable for a new crown retention.
All treatment options given to the patient including an attempt to save the tooth.
When this choice been made, a laser diode was used to cut the soft tissues around the root and allow a better retention for the future crown.
A radiograph showing the root canal treatment as been already performed a long while ago. Also, the soft tissues were very thick, allowing re-contouring and gaining of the required ‘Ferrule effect’.
Despite the bone loss, around the root, the tooth was very stable and suitable for the treatment.
Next, the tooth was reinforced with a white glass fibre post.

Only then, the soft tissues were manipulated to allow a 3-4mm of natural tooth structure for better retention.
Eventually following 3 weeks of full healing, the abutment was restored with a full porcelain eMAX crown.
To contact us
please use the form below
<Call: 01202517474
Email: wallisdowndp@hotmail.co.uk
Please only contact us if you are a new or existing patient.
CONTACT US
Call: 01202 517474
Email: wallisdowndp@hotmail.co.uk
Please only contact us if you a new or existing patient
95 Alton Road, Bournemouth, BH10 4AD
01202 517474
wallisdowndp@hotmail.co.uk